info
Gracias por visitar mi sitio web - Dr. Carlos Cardenas #993 420 877

ESCOLIOSIS IDIOPÁTICA DEL ADOLESCENTE

ESCOLIOSIS IDIOPÁTICA DEL ADOLESCENTE:

Que provoca la escoliosis? La causa mas frecuente es la Idiopática

Idiopática = Desconocida

Se trata de un cuadro genético y siguen intentando aislar la combinación de genes individuales que provocan la aparición de la escoliosis.

ADN: El material que contiene nuestro código genético

...

Es frecuente la escoliosis? De todos los adolescentes entre 10 y 16 anos del Peru tenemos:

Curvas que necesitaran CIRUGIA: 1 % de adolescentes, aproximadamente en el Perú 1500 a 2000 casos por año.

ESTE PROBLEMA NO ESTA ASOCIADO A USO DE MOCHILAS Y/O A PROBLEMAS DE POSTURA

DIAGNOSTICO:

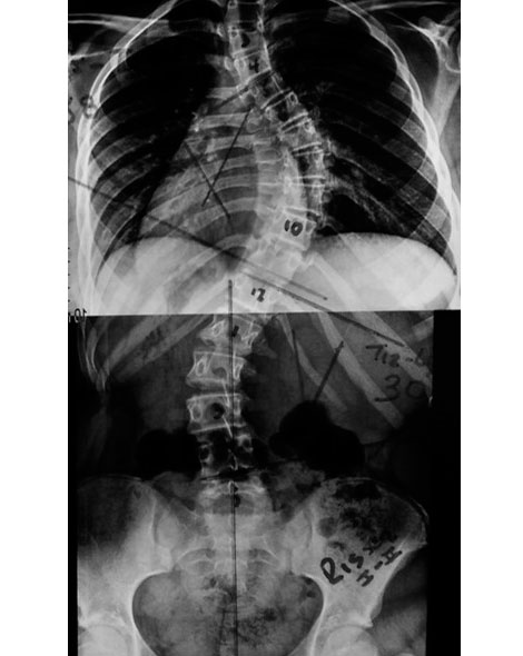
¿CÓMO SE VE LA ESCOLIOSIS EN LA RADIOGRAFÍA?

¿Aumentara mi Escoliosis?

Dos factores son los mas importantes para predecir la progresión:

¿Como determinar el potencial de crecimiento oseo?

El mas usado es el signo de risser que nos permite evaluar la aparición del nucleo de osificación en la cresta iliaca

TRATAMIENTO:

¿Que opciones de tratamiento tengo?

Recuerde, la mayoría de las curvas pequeñas se quedan pequeñas

OBSERVACION: Controles frecuentes cada 4-6 meses, en función de la edad y potencial de crecimiento

USO DE CORSE:

corsé puede en algunos casos seleccionados frenar la progresión de la escoliosis y evitar un tratamiento quirúrgico.

El uso de un corsé raras veces implica una corrección importante o permanente de una curva.

¿Cómo sé que corsé debo utilizar?.- La recomendación del tipo de corsé se determinará en función del tipo de curva, localización de la curva primaria y preferencia del especialista.

CIRUGIA:

¿Cuándo puede recomendarse la cirugía?
Esto depende:

Curvas mayores de 40 – 45 grados incluso si no han finalizado el crecimiento.

Cuando se alcanza madurez osea, algunas curvas entre 40 y 50 grados progresan y otras no.

Curvas mayores de 50 anos a pesar de ser adultos tienen elevado riesgo de seguir progresando a un ritmo lento.

... tratamiento

¿Cuáles son los objetivos principales de la cirugía?

... tratamiento

¿En que consiste la cirugía?

Link