info
Gracias por visitar mi sitio web - Dr. Carlos Cardenas #993 420 877

FRACTURAS OSTEOPOROTICAS

OSTEOPOROSIS:

FRACTURAS DE COLUMNA OSTEOPOROTICAS:

... Fracturas osteoporoticas:

Las fracturas de los huesos que afectan a la columna vertebral se llaman fracturas vertebrales o fracturas vertebrales por compresión

"Un dolor de espalda repentino e intenso, no relacionado con ningún daño específico, puede indicar que se ha sufrido una fractura vertebral"

Consideradas erróneamente como parte "normal" del envejecimiento, el encorvamiento que se produce debido a las múltiples fracturas ocasiona dolor crónico, reduce la calidad de vida y aumenta el riesgo de sufrir más fracturas.

SÍNTOMAS:

Dolor repentino en la espalda

DIAGNOSTICO:

Un examen físico completo, junto con una radiografía y/o una resonancia magnética (RMN) pueden ayudar a su médico a diferenciar entre el dolor causado por una fractura vertebral y el dolor provocado por otros trastornos.

RADIOGRAFIAS: pueden no mostrar fracturas de los cuerpos vertebrales sobre todo en su fase inicial.

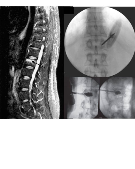
Resonancia Magnetica Nuclear (RMN).- Ayuda a identificar y diferenciar las fracturas agudas (con edema) de las fracturas crónicas.

TRATAMIENTO:

La gran parte de fracturas osteoporoticas mejoraran con tratamiento medico. No siempre son dolorosas y, en consecuencia algunas veces no son percibidas por el paciente o el medico

PROCEDIMIENTOS QUIRÚRGICOS:

Esta indicado en casos de dolor persistente que no responde a la terapia medica convencional Objetivos:

Procedimientos mínimamente invasivos para tratamiento de Fracturas vertebrales osteoporoticas:

VERTEBROPLASTIA:

Objetivos:

TASA DE ÉXITO: 80- 85 %

Procedimiento se realiza en Sala de Operaciones y es necesario el uso de un equipo de rayos X portátil llamado (Arco en C y/o Tomógrafo).

...VERTEBROPLASTIA:

Procedimientos mínimamente invasivos para tratamiento de Fracturas vertebrales osteoporoticas:

DURACION PROCEDIMIENTO: 1 HORA

Generalmente no necesita hospitalización

CIFOPLASTIA:

Con la cifoplastia, las fugas de cemento son menores y el stent consigue crear un armazón dentro de la vértebra.

DURACION PROCEDIMIENTO: 1 HORA

Generalmente no necesita hospitalización