info
Gracias por visitar mi sitio web - Dr. Carlos Cardenas #993 420 877

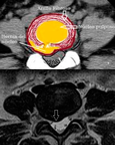
HERNIA DEL DISCO LUMBAR

¿QUE ES UNA HERNIA DISCAL?

La hernia discal es una enfermedad en la que parte del disco intervertebral (núcleo pulposo) se desplaza fuera de su lugar y como consecuencia comprime la médula espinal o alguna raíz y produce dolor, entonces es cuando puede hablarse de auténtica hernia discal.

SÍNTOMAS: Lumbociatica y/o "Ciatica"

Los síntomas también son variables, los cuales pueden ser explicados de una manera lógica:

¿POR QUÉ SE PRODUCE?

DIAGNOSTICO

EXÁMENES A SOLICITAR

TRATAMIENTO